Seit 1999 wird in unserem Haus zahnärztliche Chirurgie für unsere eigenen Patient*innen, aber auch für überwiesene Patient*innen, auf dem neuesten medizinischen Stand angeboten.
Sowohl die spezifischen fachlichen Kenntnisse als auch die umfangreiche apparative Ausrüstung sind Voraussetzungen für eine Praxis mit chirurgischem Schwerpunkt.
Zu den Aufgaben der zahnärztlichen Chirurgie gehören:
- Operative Weisheitszahnentfernung
- Wurzelspitzenresektion
- Implantologie
- Entfernung verlagerter Zähne
- Zystenentfernung
- Lippen- und Zungenbändchenkorrekturen
- Entfernung gutartiger Tumoren
- Zahntransplantation
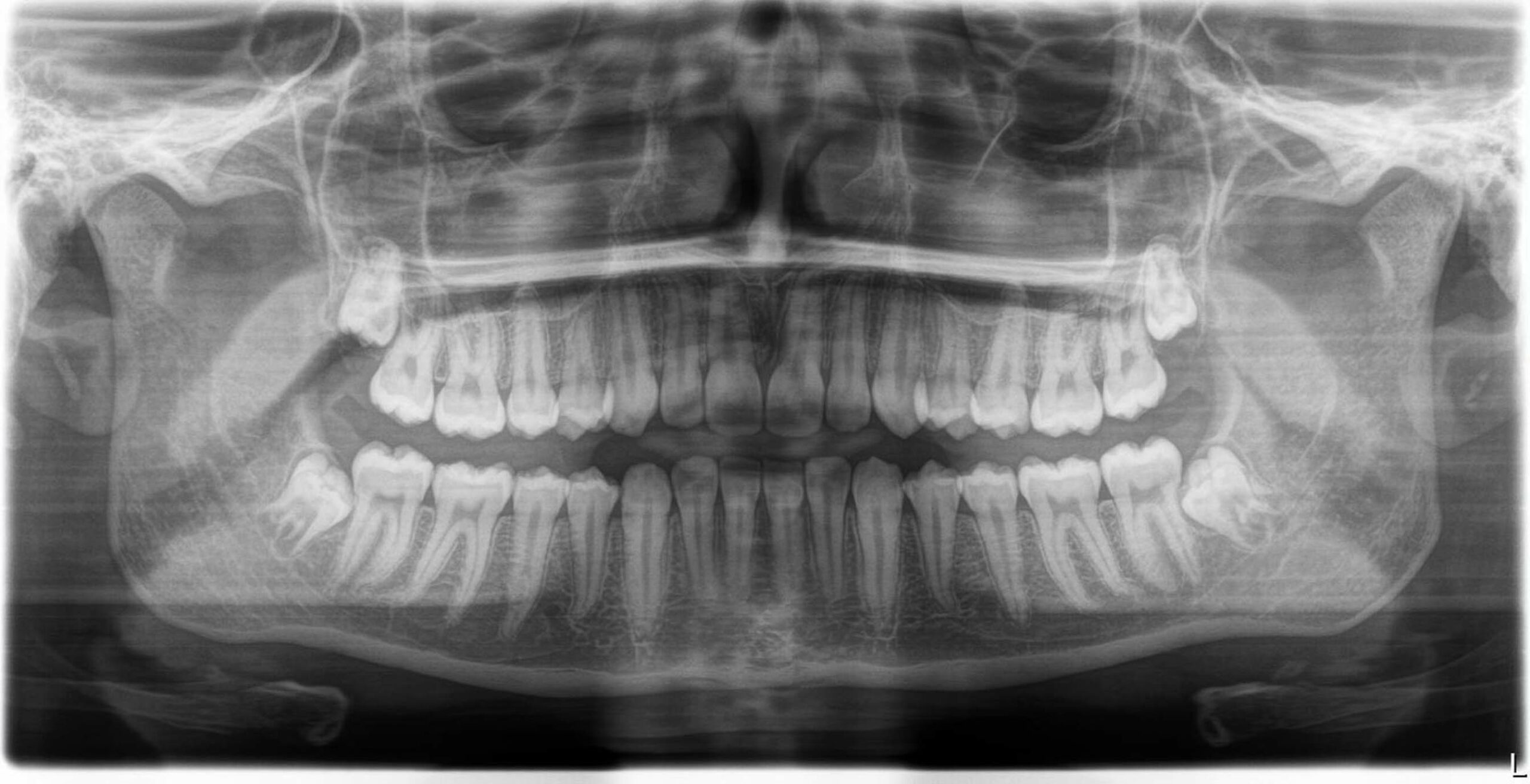
Operative Weisheitszahnentfernung
Bei über 80 % der Bevölkerung haben die Weisheitszähne zu wenig Platz im Kiefer und sollten idealerweise im jugendlichen Alter entfernt werden. Ein zu langes Zuwarten kann hier zu erheblichen Komplikationen führen.
Weisheitszähne werden in der Regel in zwei separaten Sitzungen in örtlicher Betäubung entfernt.
Vorbereitend wird eine dreidimensionale Röntgenaufnahme ( DVT ) durchgeführt um das Risiko einer Nervverletzung für die Patient*innen zu minimieren. Diese Untersuchung kann seit 2019 auch in unserem Haus durchgeführt werden und wird von der Sozialversicherung finanziell unterstützt. Ebenfalls sollte vor dem Eingriff eine professionelle Zahnreinigung durchgeführt werden um das Infektionsrisiko zu reduzieren. Der Eingriff selbst dauert zwischen 30 und 60 Minuten.
Wurzelspitzenresektion / Chirurgische Herdsanierung
Eine Wurzelspitzenresektion ist ein chirurgischer Erhaltungsversuch für einen Zahn, der mit einer konventionellen Wurzelbehandlung nicht saniert werden kann.
GRÜNDE FÜR EINE WURZELSPITZENRESEKTION
- wenn Zähne mit Stiftaufbauten versorgt sind
- wenn die Wurzelkanäle zu stark gekrümmt oder zu eng sind
- wenn trotz korrekter Wurzelbehandlung Schmerzen bestehen
Bei der Wurzelspitzenresektion ist das Ziel die Freilegung, Säuberung und Versiegelung der Wurzelspitze. Um die Behandlung korrekt durchführen zu können, ist es uns in Strass möglich ein modernes Mikroskop zu Hilfe zu nehmen.
Nach dem Eingriff sollte das Operationsgebiet absolut sauber gehalten und äußerlich gekühlt werden.
Der Eingriff wird in örtlicher Betäubung vorgenommen und dauert zwischen 30 und 60 Minuten.



